免疫系統疾病容易發生肺部纖維化嗎?肺纖維化會怎麼樣呢?

肺部纖維化是間質性肺病?

很多人可能會用「肺纖維化」這個名字來代替「間質性肺病」,畢竟間質性肺病實在是有看沒有懂,纖維化更直覺一點。不過並非間質性肺病就一定會肺部纖維化,通常纖維化是指已經結痂不能恢復的組織,部分處於急性發炎期的間質性肺病是可以經過治療後改善的。

要談纖維化之前,先科普一下什麼是肺臟,以及什麼是肺臟的「間質」。

肺部像是軟Q的海綿蛋糕

肺臟這個器官主要是讓我們可以進行氣體交換的地方,我們吸入空氣,空氣從口鼻經過喉嚨跟氣管,接著分送到左右兩邊的肺,順著越來越小條的氣管,擴散到整個肺部的小肺泡裡面。

肺泡就是一個一個很小的氣泡孔,有點像海綿裡面有很多很小很小的氣泡孔,或是像膨膨的海綿蛋糕,裡面有很多小氣泡孔隙。肺臟有完整且很精細的氣流通道,把氣體送到每一個氣泡裡面,就像大樹可以將土地的水份跟養分吸收後送到每一片葉子上,我們吸進去的空氣可以一路從口鼻分散到每個很小很小的肺泡裡面。

肺臟的氣道像是樹枝一樣,把空氣從主幹到微小的分枝,送到每個小肺泡中。

所以妳/你可以想像這很像是把一根吸管插在海綿蛋糕裡,吸氣進去會膨脹鼓起來,吐氣出來會消氣縮小。每次呼吸肺臟都要膨脹跟縮小,這裡有個肺臟很重要的特性,就是肺臟必須要很有「彈性」,很軟Q,才可以吸很多氣跟吐很多氣,也要夠軟Q才可以一下子吹很多氣出來,吸很多氣進去。太硬不夠軟的話要吸很大力才會膨脹,壓很大力才會縮小。

健康的肺臟就像好吃的蛋糕,軟Q是關鍵!

間質性肺病是什麼?

如果我們只看肺臟裡面可以流通空氣的地方,看起來肺臟會像一串葡萄,有支幹、分支、跟小泡泡,但是肺臟長得不像葡萄,比較像海綿蛋糕,意思是肺臟不是只有流通空氣的地方而已,還有很多地方是為了支撐整個肺臟以及提供彈性,就像是海綿蛋糕在氣孔之間,是蛋糕的本體,是麵團的成分。

肺臟的間質是肺臟的肉,提供肺臟彈性與支撐,供應血液與養分。

這個麵團的成分,相當於肺部的間質,就是每個氣泡跟氣泡之間的物質,提供肺泡的支撐,提供彈性。肺臟的血管、神經與淋巴系統,都走在間質裡面。間質是肺臟的肉,肺泡是肺臟的孔隙。

像是大家現在很熟的新冠肺炎病毒,是病毒從口鼻進到呼吸道,擴散到肺泡裡面,感染肺泡的細胞,造成發炎。肺炎的時候,肺泡會腫起來,分泌物增加(痰變多),太多的分泌物會把肺泡填滿,空氣進不去泡泡裡面,可以交換氣體的肺泡空間變少了,人就會喘,因為要呼吸更多下才能得到足夠的氧氣。

但是間質性肺病不一樣,這種肺發炎的問題不是病毒或細菌從氣道來的,是肺臟的肉本身的發炎問題,是麵團的問題,不是肺泡的問題。

斯斯有18種,那麼發炎有幾種呢?

肺臟的肉發炎可以有很多種原因,其中一種叫做特發性肺部纖維化,白話文就是我們還不知道是什麼原因。而免疫疾病引起肺臟的肉發炎,是間質性肺病的其中一種而已。

發炎也分很多種, 由不同免疫系統啟動的攻擊,所產生的傷痕不一樣,就像不同的子彈打在牆壁上的彈孔不一樣,所以不同的免疫機轉會出現不太一樣的肺部間質發炎變化,但是最簡單的分法就是把發炎分成兩種,急性或慢性的,也可以理解成可以恢復的跟已經不能恢復的兩種。

可以恢復的通常是正在發炎,間質腫脹變僵硬的時候,妳/你可以想像成好像關節腫脹僵硬的感覺,這時間質缺乏彈性,沒有像正常的肺臟那樣軟Q了,所以氣泡可以膨脹縮小的能力變差,可以吸吐的空氣量變小。只影響小範圍的時候,病人的肺活量還夠就沒有感覺喘,範圍大的時候就有活動性喘的問題。

肺部發炎也會讓肺部缺乏彈性,但是盡快消炎可能讓功能恢復,只是進入了長疤的狀態,可能造成永久性的肺功能損失。

不能恢復的就是已經進入結痂長疤的狀態,這時發炎的傷口已經不是紅腫了,而是已經變硬而且長疤。疤痕組織是比原本的肉更硬而且沒有彈性的,像是開刀完的疤,那些硬掉的傷疤不只彈性不好,而且失去本來的功能。腫的地方消腫之後還是原本的樣子,長疤的地方就不再是原本的樣子了,成為不能恢復的疤痕。進入結痂狀態的間質性肺病,會造成永久性的肺功能損失。

當肺臟從軟Q的海綿變成纖維很多很硬的菜瓜布,肺臟能膨脹縮小的能力變差,換氣的量就變小了。

CC BY 2.0, https://commons.wikimedia.org/w/index.php?curid=259143

間質性肺病或肺纖維化有什麼症狀?

肺臟間質(也就肺臟的肉)受到免疫系統攻擊而開始發炎,會有什麼感覺,有什麼症狀嗎?

其實一開始在發炎的早期,很可能是沒有症狀的,即使輕微的咳嗽也很難聯想到有間質性肺病,輕微的症狀也很難在聽診上有異狀或是肺部X光上看出端倪。

多數的免疫疾病患者會被懷疑有間質性肺病,是因爲久咳不癒,乃至日常活動會喘或胸悶。由於間質性肺病並非氣道的發炎,而是間質的發炎,多半是不會像細菌性的肺炎一樣造成肺部分泌增加而多濃痰,間質性肺病以乾咳為主。

間質性肺病的四種主要初始症狀為

  • 乾咳
  • 久咳不癒
  • 活動性呼吸急促
  • 胸悶
經常咳嗽好不了、活動會喘、胸悶都是間質性肺病一開始的症狀。

People photo created by jcomp – www.freepik.com

如何發現免疫系統引起間質性肺病

要及早發現間質性肺病,目前仰賴醫師與病人的警覺性,在某些特別容易出現間質性肺病的免疫疾病,像是硬皮症多發性肌炎或皮肌炎,醫師對於病人有咳嗽、胸悶、或活動性喘的問題,會更仔細評估。

其他的免疫系統疾病像是類風濕性關節炎乾燥症紅斑性狼瘡血管炎等等,也都是有可能會侵犯肺臟造成間質性肺病的,只是在比例上略低於硬皮症與發炎性肌炎。

當病患有疑似的初始症狀,醫師透過聽診來初步評估,接著可以安排胸部X光。當高度懷疑間質性肺病時,需要高解析度肺部電腦斷層(HRCT)來協助診斷間質性肺病以及它的型態,並且需要肺功能檢查以評估現存的肺臟功能。

一旦有間質性肺病的問題,建議連同心臟也一起檢查,肺部纖維化容易合併肺動脈高壓,需要心臟超音波檢測肺部動脈壓力,以及六分鐘走路測試來評估病人心肺功能。

評功間質性肺病的檢查可能包括:胸部X光、胸部電腦斷層、肺功能檢查、心臟超音波、六分鐘走路測試。

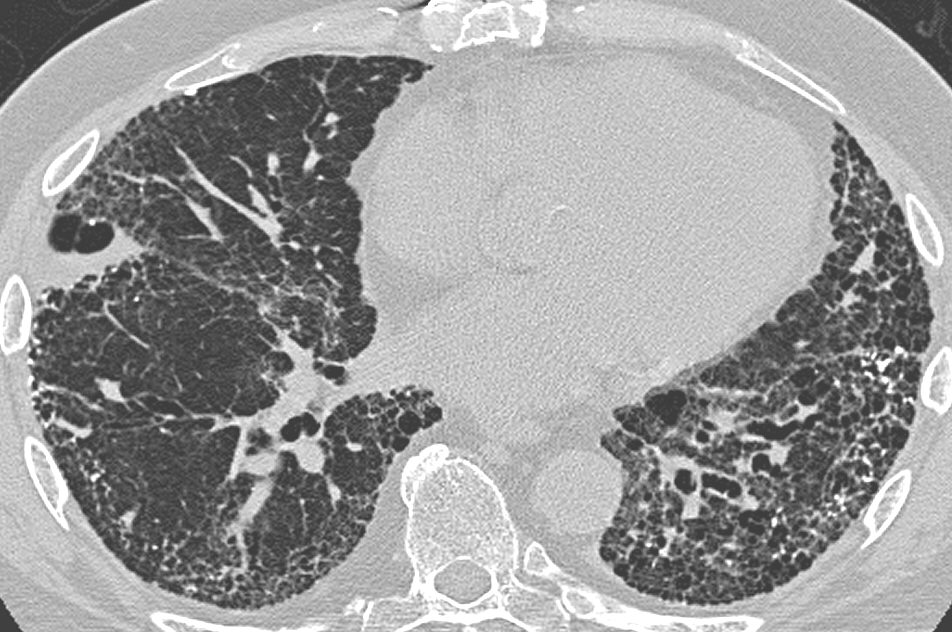
電腦斷層的肺部網狀變化,是肺纖維化的典型特色。

By Yale Rosen from USA – UIP (Usual interstitial pneumonia)-CT scan, Image contributed by Darel Heitkamp, MD.Uploaded by CFCF, CC BY-SA 2.0, https://commons.wikimedia.org/w/index.php?curid=31127997

肺纖維化後還能治療並且恢復嗎?

先前有提到間質性肺病最簡單的分法就是分成可以恢復的跟已經不能恢復的兩種,所以有些可以恢復,但是有些不能夠恢復。可以恢復的就像是發炎期的傷口,不能恢復的就像是長了疤痕傷口。長了疤痕的肺臟細胞會變得比健康的肺臟細胞來得硬,肺泡要充氣跟消氣會很困難,缺少軟Q的彈性。除了彈性缺乏之外,長疤的細胞是纖維細胞,纖維細胞沒有氣體交換功能,也就是說如果一個肺泡的外圍間質從健康的細胞換成纖維細胞,肺泡就沒有辦法做氣體交換,就算空氣流進去也不能把氧氣送到血液裡,變成一個無功能的空泡。也正是因為這樣肺泡變得無用又硬梆梆,肺纖維化會讓患者的肺活量變差,容易缺氧。

治療的目的有兩個:一是抑制發炎(免疫攻擊),二是阻止長疤(纖維化)。

目前在免疫系統疾病引起的間質性肺病,進而發生肺部纖維化病變的治療上,主要有兩個治療概念,一是抑制發炎,二是阻止長疤。抑制發炎我們用免疫調節的藥物,阻止長疤我們用減少纖維細胞生長的藥物。

藥物治療的目的在於阻止肺部被持續攻擊破壞,並且阻止肺部在發炎修復的過程中長疤變成纖維化。但是藥物的作用並非讓肺臟細胞再生,也不是讓肺臟新生更多的肺泡,

結成疤的皮膚與正常的皮膚相比失去彈性與原先的功能,肺纖維化最後就像是肺部結成疤,失去肺部的容量,造成肺功能變差。

Vintage photo created by tirachard – www.freepik.com

免疫藥物治療的第一線用藥是類固醇,類固醇才能發揮立即見效的抗發炎效果,對於發炎嚴重的患者也可以考慮使用高劑量類固醇脈衝治療,接續使用免疫調節藥物,以長期替代類固醇功能且控制發炎反應,部分生物製劑如介白質6(IL-6)拮抗劑(安挺樂)Rituximab(莫須瘤)可能對於間質性肺病有療效。

在抗纖維化藥物的部分,nintedanib(Ofev,抑肺纖)已證實在特發性肺纖維化以及硬皮症引起的間質性肺病有延緩肺功能惡化的療效,pirfenidone(Pirespa,比樂舒活)僅適用於特發性肺纖維化,兩種藥物皆需符合健保給付的規範條件才得事前審核為健保給付。

其他同樣重要的治療而且病友自己應該要做的,包括戒菸(非常重要)、避免吸入空氣中的有害物質包括污染物質、保暖、心肺復健等等,定期回診且與醫師討論治療策略。

肺纖維化會很嚴重嗎?

肺部纖維化屬於嚴重的內部器官侵犯對患者的生活品質與生命長度都有顯著的影響,即使在目前的藥物治療下,仍有不少困難治療且快速惡化的病人。因此所有的免疫疾病患者都應該認知到全身性的免疫系統疾病是可以攻擊肺臟的,可惜的是目前的醫療還無法預測哪些人一定會有肺臟問題,以及何時會發生。

透過病患自我察覺,並且規則回診與醫師反應,在早期能夠診斷,最能夠控制病況與維持生活品質。專業的免疫風濕科醫師對於免疫疾病合併間質性肺病的風險應萬分警覺,許醫師也鼓勵病友有呼吸與肺部方面的問題,都應該跟免疫風濕科主治醫師反應,因為風險較高,評估趁早,小心誤以為感冒或氣喘,把小病拖成了大病。

封面圖片:Medical photo created by freepik – www.freepik.com

延伸閱讀:

免疫疾病讓你頭昏腦脹腦筋轉不動,你腦霧了嗎?
皮肌炎與多發性肌炎有什麼症狀,萬一肺纖維化可能致命!?
乾燥症病友除了眼乾與口乾外,還需要注意哪些問題呢?
手指好硬,皮膚也緊繃,我是硬皮症嗎?還是全身性硬化症?

在〈免疫系統疾病容易發生肺部纖維化嗎?肺纖維化會怎麼樣呢?〉中有 12 則留言

發表留言