類風濕性關節炎不只影響手腳而已!
多數人都知道類風濕性關節炎會造成慢性、多發性、發炎性、破壞性的周邊關節炎,尤其是類風濕性關節炎可能造成關節侵蝕,導致手或腳的關節變形,是類風濕性關節炎最讓人擔心的問題。
長期忽略關節腫痛問題,造成關節受傷侵蝕,變形後可能無法復原,手術雖能部分矯正,卻無法完全恢復原先的功能,在過去藥物治療不發達的年代,類風濕性關節炎常導致患者失能,無法工作且日常生活需要協助。
但是大家經常不知道也容易忽略的是,類風濕性關節炎不是只有侵犯手腳,肩關節、髖關節也會影響,吃東西咬合時用到的顳顎關節也可以受到類風濕性關節炎影響,而更不為人知的是,頸部的第一節與第二節之間,也是類風濕性關節炎可以侵蝕的位置喔!
頸椎第一與第二節間的關節,是類風濕性關節炎可以侵犯的關節部位!

Medical photo created by freepik – www.freepik.com
後頸痛也跟類風濕性關節炎有關!
剛過更年期的阿姨,因手指、手肘、腳趾疼痛來看許醫師。
她的RF抗體、CCP抗體都陽性,且第一次來看診時ESR到34,CRP則到1.2,都是異常高。經過兩個月藥物治療後,ESR與CRP都回到正常範圍,手腳關節症狀也大幅改善了。
類風濕性關節炎也確診。
但是阿姨一直有個問題沒有說,直到半年後才提到,她的後頸會痛。
「這個問題跟我這種疾病有關嗎?」
類風濕性關節炎偏好滑囊關節
類風濕性關節炎會侵蝕身上的滑囊關節(synovial joints),而身上的滑囊關節包括四肢關節、肩鎖骨關節、胸鎖骨關節、顳顎關節,以及很重要的頸椎第一節與第二節之間的關節(atlanto-axial joint)。
侵蝕頸椎第一二節之間的關節後,會造成第一節頸椎滑脫,典型的症狀是病人在脖子往前傾,低頭往下看的時候會後頸痛。也有滿多人是很難描述特別哪個姿勢才會脖子痛,反正就是在脖子高位的地方會痛。
嚴重滑脫的話,第一節頸椎在低頭時往前滑會壓迫到頸椎內的脊髓,嚴重的脊髓神經壓迫可能引起從頸部以下癱瘓。


圖上的左手邊是阿姨的脖子,右邊是正常的範例。
阿姨的頸椎第一節與第二節間的關節有發炎且侵蝕的病變,造成長期慢性的後頸高位疼痛,低頭看下方的時候會加劇疼痛症狀。雖然在磁振造影MRI上並未看到第一節頸椎因為滑脫而壓迫到脊髓神經的情況,但未妥善治療下可能讓頸椎滑脫情形惡化。
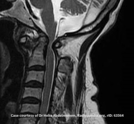
下圖為頸椎第一節向前滑脫,造成脊髓神經壓迫的例子。

由於第一節頸椎滑脫太靠前,壓到脊椎神經造成神經壓扁,由於此處為頸椎高位,可能影響頸椎神經往下傳遞的神經訊號,輕度可能只有後頸痛的症狀,嚴重一點可以包括上肢的無力或感覺異常,甚至可以從胸下失去知覺,影響呼吸肌肉,甚至全身癱瘓無力。
第一節頸椎滑脫輕者只有後頸痛,嚴重者可以癱瘓無力,應謹慎評估!
好好控制類風濕性關節炎除了照顧手腳也照顧脖子
類風濕性關節炎目前已經有相當有效的藥物治療,有效控制病情可以減少關節病變與降低失能風險。但是有些症狀容易被患者忽略,或是誤解成其他原因,像是後頸痛就很容易被當作落枕、手機看太久、或是工作引起,不曉得原來就是跟類風濕性關節炎有關,也不知道病情的嚴重性。
如果您或您的家人朋友正好是類風濕性關節炎患者,也因為脖子痛有一陣子時間了,請主動告知您的免疫風濕科主治醫師,也許只是單純的頸部肌肉疼痛,但不要忽視第一節頸椎滑脫的可能性,萬一神經壓迫可是影響生命的事情!
脖子痛也記得要告訴免疫風濕科醫師喔!
延伸閱讀:
。免疫系統疾病容易發生肺部纖維化嗎?肺纖維化會怎麼樣呢?
。免疫疾病病友們,吃藥吃到懷疑人生嗎?
。免疫疾病患者測驗你這週的疲倦感有幾分?疲倦可以治療改善嗎?
。類風濕性關節炎有治療黃金期嗎?如果我早點看到風濕科醫師早點使用免疫調節藥物會不會比較好?

在〈脖子痛,也可以是類風濕性關節炎惹的禍!〉中有 5 則留言